インプラント審美歯科治療、歯周病・再生治療なら福岡・天神の歯科・林美穂医院

〒810-0041
福岡県福岡市中央区大名2-1-35-6F
福岡のインプラント、審美歯科治療、歯周病・再生治療なら、福岡・天神の歯科・林美穂医院福岡、天神の歯科林美穂医院はインプラント、審美歯科治療、歯周病・再生治療を行っています。 福岡のインプラント治療の歯医者、林美穂医院は完全予約制です。
福岡 天神の林美穂医院はインプラント、審美治療、歯周・再生治療を専門に行っている医院です
診療について
【インプラント】
歯を失ったところに人工の歯をいれる治療を歯科インプラント治療といいます。最近では、インプラント治療は急速に進歩しています。当院では積極的にインプラント治療を行っています。

※画像はクリックすると拡大します

>>一言コラム「最近のインプラント事情」へ
インプラント治療後
インプラント治療後
【審美歯科治療】
   白い物(セラミック)を用いているだけが審美歯科治療ではありません。審美歯科治療とは歯周組織が健康で機能的にも問題がなく、見た目においても調和がとれ、長期的に安定した治療のことをいいます。

※画像はクリックすると拡大します

>>一言コラム「審美歯科治療について」へ
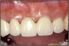
症例1審美歯科治療前症例2審美歯科治療後
▲症例1 治療前▲症例1 治療後
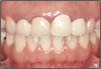
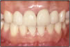
症例2審美歯科治療前症例2審美歯科治療後
▲症例2 治療前▲症例2 治療後
【再生治療】
歯周病などで骨などを失ったところに骨を再生させたりします。

※画像はクリックすると拡大します
再生治療前再生治療後
▲治療前▲治療後

【ホワイトニング】
(歯牙漂白、歯肉漂白、PMTC)

当院では、歯牙漂白(天然歯の色を削らずに白くする)や歯肉漂白(歯肉の黒ずみを除去する)方法を 行っています。PMTC(プロフェッショナル・メカニカル・トゥース・クリーニング)とは歯科医院で行う特別な歯のクリーニングを意味します。当院では積極的にPMTC を行っています。

>>一言コラム「審美治療について」へ

>【レーザー治療】
当院では、毎日の診療にレーザー治療を導入しています。

【歯周病】
気づかない間に徐々に進行していく歯周病歯周病とは歯を支えている骨にまで炎症が波及し、骨を溶かしていく病気のことをいいます。歯ブラシをすると出血する、歯茎から膿のようなものがでる、朝起きたときに口の中がネバネバする、口臭が気になるという方は要注意です。

PAGETOP
インプラント審美歯科再生治療ホワイトニングレーザー治療歯周病

福岡のインプラント、審美歯科治療、歯周病・再生治療なら福岡・天神の歯科・林美穂医院


Miho Hayashi Dental Office  福岡県福岡市中央区大名2-1-35 トライエント山崎ビル6階

当サイトの著作権・著作物は、歯科・林 美穂医院が所有しております。
当サイト内に掲載されている文章・画像など、全ての著作物の無断転載・商用利用を禁じさせて頂きます。
2003.5 (C)Miho hayashi Dental Office.
Powered By clevertop